

近日,上海市东方医院肿瘤科周彩存教授团队,成功为一名高龄、基础肺功能差且肿瘤紧邻心脏的肺癌患者,实施机器人辅助经皮穿刺消融手术。该案例充分展现了团队在高危复杂部位肿瘤微创治疗领域的领先水平,也是学科在胸部肿瘤诊疗中技术融合、团队协作与规范化推广的系统性成果体现。
肿瘤紧贴心脏搏动,常规治疗风险极高
今年77岁的陈老伯,是一名有肿瘤病史的患者。1年半前,他曾接受前列腺癌根治术,本已顺利康复。然而在近期术后随访PET-CT检查中,医生发现其左肺上叶既往结节代谢明显增高,提示为新发第二原发恶性肿瘤。
尽管肺部病灶尚处早期,理论上通过精准消融可达到根治效果,但该病灶紧邻心脏,随呼吸运动与心脏搏动同步位移。此类“心缘旁病灶”,传统消融操作极易损伤心脏及大血管,手术风险极高,一度被视为微创治疗的相对禁区。面对常规外科手术创伤大、传统CT引导消融反复扫描、并发症风险较高等临床难题,陈老伯及家属多方求医后,最终慕名前往上海市东方医院,寻求周彩存教授团队诊治。
周彩存教授团队经全面评估后认为:患者病灶体积虽小,但毗邻重要心脏结构、大血管与大气道,任何局部有创治疗均存在较高风险,必须实现亚毫米级精准穿刺与可控消融,才能在保证疗效的同时最大限度保障安全。为此,团队决定采用RC120穿刺手术导航定位系统,依托其“CT影像与智能传感一体化”核心优势,弥补传统定位方式的不足,为患者提供更精准、更安全、更高效的微创治疗方案。
机器人导航,35分钟完成病灶消融
手术中,除肺部呼吸运动外,持续的心脏搏动是穿刺定位必须克服的关键难点。患者仰卧于CT检查床,胸廓随呼吸起伏,心脏规律搏动,对穿刺第一针的准确性提出极高要求。
在术前周密规划与影像中心紧密配合下,熊安稳医师在RC120机器人智能导航支持下,将特制射频“爪针”精准送达左肺上叶病灶中心。系统可实时感知并动态补偿呼吸、心跳带来的器官位移,真正实现一针精准到位,全程有效避开心脏及大血管。术中团队持续严密监测心电及生命体征,严防心脏相关损伤。
整个手术过程平稳顺利,未出现气胸、咯血等并发症,对周围正常组织损伤降至最低。同时,机器人辅助技术大幅减少术中CT扫描频次,既缩短手术时长,也减轻了患者辐射暴露、心理压力与医疗负担。
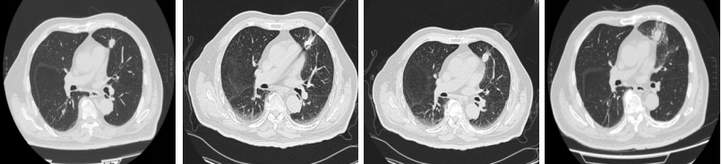
手术全程仅用时35分钟,患者术后安返病房,生命体征稳定。术后复查CT显示:消融区域密度均匀增高,范围完整覆盖靶病灶,周边肺组织、心脏及大血管均未受影响,治疗效果理想。
消融前、消融中、消融中、消融后一天。 受访单位供图
多学科融合,促成高质量合作诊疗
陈老伯的顺利康复,并非单一技术的成功,而是科室长期深耕微创介入与多学科协同建设的必然结果。通过人工智能与介入技术深度融合,医院持续提升诊疗精准度与安全性,为更多高危复杂肿瘤患者带来优质微创解决方案。
此前,上海市东方医院肿瘤科、微创介入治疗中心获批成为中国医师协会肿瘤消融治疗技术培训基地,标志着团队在肿瘤消融规范化操作、技术创新与人才培养方面达到国内领先水平。
随后成立的东方医院胸部肿瘤诊疗中心,由深耕肺癌靶向、免疫治疗领域的周彩存教授牵头,联合胸外科、呼吸科、微创介入科、放疗科、病理科、影像科等多学科权威专家,整合优势资源,打破学科壁垒,构建“内外结合、多学科一体”的MDT诊疗体系,实现从早期筛查、精准诊断、个体化治疗到康复随访的全病程一站式管理,完成从“患者跑科室”到“专家围着患者转”的服务模式升级。陈老伯的成功救治,正是这一创新诊疗模式在高危复杂病例中应用的生动实践。
启远网提示:文章来自网络,不代表本站观点。